
| 얼마나 오랜 기간 동안 난임이셨나요? | 1년 |
|---|---|
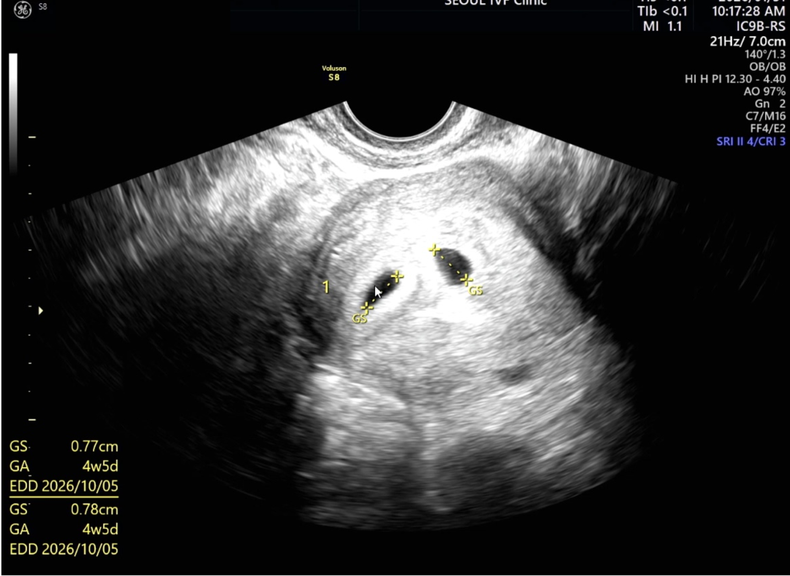
| 가슴 떨리는 임신 이야기를 공유해 주세요. | 평소 생리가 불규칙해 배란 초음파를 보며 1년 동안 자연임신을 시도했지만 임신이 되지 않아 난임병원을 찾게 되었습니다. 구월동 내 병원을 고민하던 중 후기가 좋아 서울아이비에프여성의원을 선택하게 되었습니다. 이전에도 난소에 혹이 보이긴 했었는데, 게속 지켜보자는 얘기만 들었었는데 이예흔 원장께서 이상 소견을 발견해 추가 확인을 진행해주신 덕분에 자궁내막증을 알게 되었습니다. 그 원인으로 임신이 어려웠던 것으로 판단되어 바로 시험관 시술을 진행하게 되었고, 첫 번째 시도 만에 임신에 성공해 쌍둥이를 만나게 되었습니다. 이예흔 선생님께서 항상 친절하게 맞이해주셨고, 시술과정도 의문없이 믿고 따를 수 있었습니다. 이예흔 원장님 그리고 간호 선생님들, 병원 모든 분들 너무 감사하고, 배아 연구원분들도 정말 감사합니다!! |
| 치료 도중 느꼈던 가장 기뻤던 순간과 절망적인 것들은 무엇인가요? 잊지 못할 경험이 있나요? | 난자 채취에서 14개가 나와 괜찮다고 생각했지만, 최종적으로 남은 배아가 3일 배아 2개뿐이었을 때 가장 걱정이 컸습니다. 하지만 그 2개의 배아로 쌍둥이를 만나게 되어 지금은 감사한 마음뿐입니다. |
|---|
| 서울IVF여성의원의 난임 치료에 대해 말씀해 주실 것이 있나요? | 이예흔 원장님을 비롯한 의료진과 간호사, 데스크 직원분들 모두 항상 친절하고 따뜻하게 대해주셔서 힘든 과정 속에서도 큰 위로를 받을 수 있었습니다. 또한 시험관 시술에서 중요한 배아 관련 기술력에 있어서도 신뢰할 수 있는 병원이라는 느낌을 받았고, 전체적으로 매우 만족스러운 경험이었습니다. |
|---|
| 난임 치료를 시작하고 있거나 아직 그 여행을 끝내지 못한 다른 분들에게 해줄 조언이 있을까요? | 과정이 힘들더라도 결국 좋은 결과가 있다는 믿음을 가지고 의료진을 믿고 편안한 마음으로 치료를 이어가셨으면 좋겠습니다. 지나고 나면 힘들었던 기억보다 좋았던 기억들이 더 많이 남게 되는 것 같습니다. |
|---|
| 난임 기간 동안 도움을 받았던 것들 중 다른 난임환자분들 위해 나눌 것이 있나요? | 지나고 나면 좋았던 것들만 기억날거에요 ! 너무 스트레스, 걱정하지 마시고 의료진을 믿고 좋은생각만 하셨으면 좋겠습니다! |
|---|

language
English
中國語